EN
FR AR

AI Portfolio

Hckonnect

Chestview

Enhancing Diagnostics through Intelligent Image Analysis

Radiology
Hckonnect

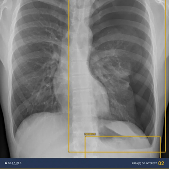
ChestView: Accelerated and Improved Detection of Thoracic Anomalies

With the help of ChestView, the detection of urgent findings such as pneumothorax, pleural effusion, and consolidation, as well as early cancer indicators like nodules and mediastinal masses can be accelerated and improved.

It was co-developed with AP-HP and is based on a robust database, which was partly cross-referenced with CT-scans.

ChestView is successfully used in private and public facilities worldwide.

Hckonnect

Enhanced patient care

Improve quality of care and patient satisfaction by minimizing the number of missed anomalies.

Gleamers study was able to show a significant increase in sensitivity for all anomalies.

Hckonnect

Optimization of Workflow

More than 70% of the conducted chest X-rays are classified as normal.

ChestView promotes prioritization through a unique design that combines essential findings with high sensitivity, thereby assisting in patient triage.

Hckonnect

Empowering readers

Interpreting chest X-ray images poses a challenge even for experienced readers.

ChestView application aims to serve as your partner and assist you by reducing the reading time and reinforcing your decision-making.

Hckonnect

Marie-Pierre Revel

Head of Radiology Department, Hôpital Cochin AP-HP, Paris, France

CXR is the 1st line exam for multiple indications, however, CXR reading is particularly difficult. AI has the ability to detect subtle findings that require urgent management or that can highly impact patient prognosis, including signs of cancer, increasing the performance of radiologists.

1/1

Related products

View all products